Die Ballondilatation

Was ist unter diesem Begriff zu verstehen? Wann wird die Ballondilatation angewandt? Wie läuft eine Ballondilatation ab? Was sind mögliche Risiken für den Patienten? Zu diesen Themen wurde Dr. Hans Weidenbach, Oberarzt der Abteilung Innere Medizin I an der Universitätsklinik Ulm befragt.

Was ist eine Ballondilatation?

Die Ballondilatation ist eine Technik zur Aufdehnung von Stenosen (Engstellen) in Gefäßen und Gangsystemen. Bei Lebererkrankungen sowie nach einer Lebertransplantation kann dieses Verfahren zur Weitung der Gallengänge eingesetzt werden.

Die Aufweitung der Engstelle erfolgt dabei mit Hilfe eines Hochdruckballonkatheters, der über die Stenose geführt wird und danach mit hohem Druck (Luft oder Wasser mit Kontrastmittel) aufgepumpt wird. Durch diesen Eingriff wird die Stenose erweitert, so dass der Galleabfluss von der Leber in den oberen Dünndarm, der zuvor behindert war, wieder möglich ist.

Wann wird eine Ballondilatation durchgeführt?

Man unterscheidet zwischen Dilatation bei chronischen Lebererkrankungen zur Erhaltung der Leberfunktion und Dilatation einer Gallengangsanastomose nach einer Lebertransplantation (Gallengangsanastomose = Nahtstelle zwischen Gallengang des Transplantats und Gallengang des Empfängers).

Therapie bei PSC

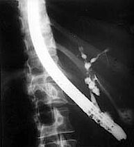
Die Ballondilatation wird bei der primär sklerosierenden Cholangitis (PSC) angewandt. Die PSC ist eine entzündliche Erkrankung der Gallenwege, die zu einem Nebeneinander von entzündlich- vernarbenden Engstellen einerseits und Gangerweiterungen andererseits führt [Abb. 1]. Durch die Engstellen im Gallengang kommt es zu einem Gallenaufstau mit Ikterus (Gelbsucht). Werden die Engstellen durch eine Ballondilatation aufgedehnt, kann ein ausreichender Gallefluss erreicht werden [Abb. 3]. Ballondilatationen von Engstellen der Gallengänge bei PSC wirken sich wahrscheinlich günstig auf das Fortschreiten der Erkrankung aus. Belegt wird dieses Vorgehen durch eine an der Universität Heidelberg durchgeführte Studie, die weltweite Anerkennung fand.

Therapie nach Lebertransplantation

Die wichtigste Indikation nach einer Lebertransplantation ist die Aufdehnung von engen Gallengangsanastomosen. Bei einem Teil der Patienten kommt es kurz nach der Transplantation zu einer Unterversorgung des Gewebes an der Verbindungsstelle zwischen Transplantat und Gallengang des Empfängers. Diese Unterversorgung kann zu einer Engstellung dieser Verbindungsstelle führen [Abb. 5].

Typische Anzeichen für den behandelnden Arzt oder den Patienten sind ein Anstieg der Leberwerte gGT (Gamma- Glutamyl- Transferase) und der AP (Alkalische Phosphatase) im Blut, ein neu auftretender Juckreiz oder ein plötzlicher Ikterus. Neben der Ballondilatation einer Gallengangsanastomose ist die Einlage von Gallengangstents (Kunststoffröhrchen) über die Engstelle hinweg eine weitere wichtige Voraussetzung für die dauerhafte Aufdehnung der Engstelle. Eine Ballondilatation alleine weitet das Gewebe nicht ausreichend, um eine erneute Engstellung innerhalb kurzer Zeit zu verhindern. Auch für die Ballondilatation nach Lebertransplantation gibt es Studien die den Sinn dieses Eingriffs belegen.

Wie wird bei der Ballondilatation vorgegangen? Was erwartet den Patienten?

Eine Ballondilatation wird im Rahmen einer endoskopischen- retrograden Cholangiographie (ERC) durchgeführt. Der Patient muss für diese Untersuchung nüchtern sein. Neben den geeigneten Endoskopen für diese Untersuchung ist ein leistungsfähiges Röntgengerät sowie ein erfahrener Arzt Voraussetzung für diesen Eingriff. Der Patient erhält einen venösen Zugang, über den Medikamente verabreicht werden (Prämedikation), die dem Patienten die Untersuchung erleichtern. Eine gewünschte Nebenerscheinung dieser Medikamente ist, dass der Patient keine unangenehmen Erinnerungen an den Eingriff hat.

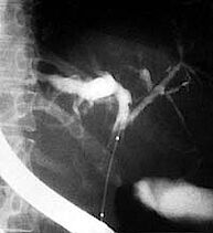
Nach der Prämedikation schluckt der Patient ein Seitblickendoskop, welches nach Passage von Speiseröhre und Magen im Zwölffingerdarm platziert wird. Dann wird die Papille (Einmündungsstelle) von Gallengang und Bauchspeicheldrüsengang betrachtet und unter Sicht sondiert. Über diese Sonde wird Röntgenkontrastmittel in das Gallengangsystem eingespritzt, um die Veränderungen der Gallenwege mit Hilfe der Röntgenbilder sichtbar zu machen. Sind für den Ballonkatheter erreichbare Gallengangsengstellen auf den Röntgenbilder erkennbar, kann eine Ballondilatation vorgenommen werden. Um zu den Engstellen zu gelangen, wird die Gallengangseinmündung im Zwölffingerdarm durch Schneidekatheter eröffnet (Papillotomie). Mit Hilfe eines Katheters wird ein dünner weicher Draht über die Stenose geschoben. Dieser Draht ist die Leitschiene für den Ballonkatheter, der auch über die Stenose geführt wird [Abb. 2 u. 6]. Die Aufdehnung der Engstelle mit dem Ballon wird für einige Minuten vorgenommen. Im Fall einer engen Gallengangsanastomose werden zusätzlich, nach dem Rückzug des Ballonkatheters, Gallengangs- Stents über die dilatierte Engstelle geschoben. Die Gesamtdauer des Eingriffs kann bis über eine Stunde betragen.

Welche Erfahrungen wurden bisher mit dieser Therapiemöglichkeit vor und nach Transplantationen gemacht?

Bei der PSC kann der Verlauf der Erkrankung durch eine Beobachtung der Laborwerte abgeschätzt und eine Ballondilatation bei Werteanstieg vorgenommen werden. Das bedeutet, dass im Verlauf von Jahren viele Ballondilatationen an unterschiedlichen Engstellen notwendig werden. Mit diesem Vorgehen kann bei einem Patienten mit einer PSC wertvolle Zeit bis zu einer Transplantation gewonnen werden. Bei Patienten, bei denen nach einer Transplantation eine Ballondilatation durchgeführt werden muss, müssen die Stents für mehrere Monate im Gallengang verbleiben, um eine ausreichende Weitung der Engstelle zu sichern. Nach einem Herausziehen der Stents kann die Gallengangsengstellung jedoch auch nach Monaten wieder auftreten.

Welche Risiken können für den Patienten bei einer Ballondilatation auftreten?

Jeder Eingriff am Patienten und jede Untersuchungsmethode birgt die Gefahr von Komplikationen in sich. Aus rechtlichen Gründen muss deshalb vor dem endoskopischen Eingriff eine schriftliche Aufklärung erfolgen. Ein häufiges Risiko einer Gallengangsdilatation ist eine Verschleppung von Keimen in die Leber durch die Kontrastmittelfüllung der Gallengänge. Diese Keimverschleppung führt zu Schüttelfrost und einem deutlichem Fieberanstieg nach dem Eingriff. Medizinisch wird dieser Zustand als "biliäre Sepsis " (Sepsis = Blutvergiftung durch Keime) bezeichnet. Durch die intravenöse Gabe von Antibiotika kann eine "biliäre Sepsis "wirksam behandelt werden.

Bei einer Ballondilatation kann es in seltenen Fällen auch zu einer Gallengangsverletzung kommen. Die Verletzung des Gallengangs entsteht durch die Überdehnung des Gewebes mit Einriss der Wand des Gallengangs. Meistens dichtet das umliegende Gewebe diesen Einriss von selbst wieder ab. Sollte dies nicht der Fall sein, kann durch einen Stent das Gallengangsleck nach der Ballondilatation wieder sicher abgedichtet werden. Allergische Reaktionen oder Herz- Kreislauf- Reaktionen auf die Prämedikation sind möglich, jedoch sehr selten.


Wir bedanken uns bei Herrn Dr. Weidenbach für dieses Gespräch! Das Interview führte Andrea Schilling.